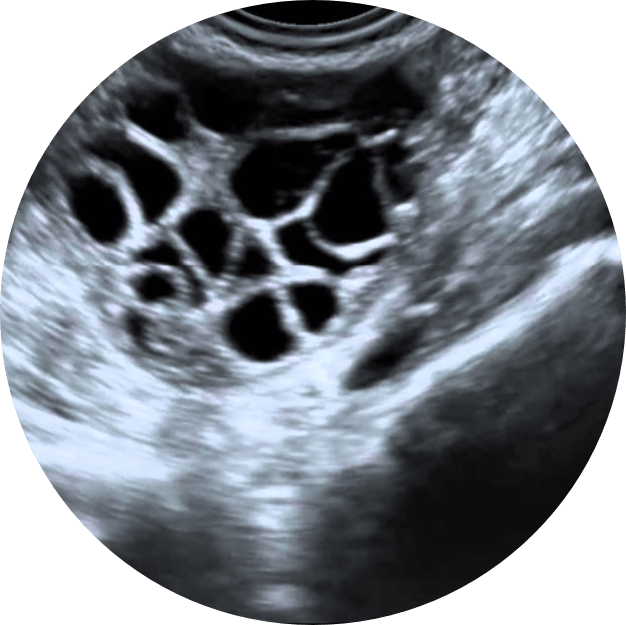
Síndrome de ovario poliquístico
El síndrome de ovario poliquístico (SOP) es un trastorno hormonal común en mujeres en edad reproductiva que afecta la función de los ovarios. Las mujeres con SOP suelen tener desequilibrios hormonales, problemas de ovulación y, a menudo, pequeños quistes en los ovarios. El SOP puede influir en la fertilidad y está relacionado con un mayor riesgo de desarrollar problemas metabólicos y cardiovasculares.
Síntomas:
Los síntomas del SOP pueden variar, pero los más comunes incluyen:
- Menstruaciones irregulares o ausentes
- Aumento de peso, especialmente alrededor del abdomen
- Exceso de vello facial y corporal (hirsutismo)
- Acné y piel grasa
- Caída de cabello similar a la calvicie masculina
- Dificultad para quedar embarazada
Causas:
Las causas del SOP no son completamente conocidas, pero los factores que contribuyen incluyen:
- Desequilibrio hormonal: Exceso de andrógenos (hormonas masculinas) que interfieren con la ovulación.
- Resistencia a la insulina: La mayoría de las mujeres con SOP tienen resistencia a la insulina, lo cual contribuye a los desequilibrios hormonales.
- Genética: Existe una predisposición genética al SOP.